We Do the Impossible…

Pain Free Root Canals

Fingers crossed you don’t need it, but if you do, we’re here to help

Your Grapevine Dentist

Owners of Today Dental

Today Dental Crowley

Better, cleaner root canals!

Relieve your pain with our disinfected root canals! We maintain the highest quality standards, incorporating new advancements and products customized to ensure your tooth last for years to come.

Short dental appointments

Streamline your dental experience at Today Dental of Grapevine with shortened root canal appointment times and advanced dental procedures. Maximize quality family time while minimizing your visits to the dental office.

Expert dental professionals

Choose our Grapevine, Texas dentist for a pleasant root canal treatment visit. With years of expertise and a commitment to continuous learning through numerous courses, we enhance your visit for both enjoyment and lasting results.

Painless visit!

At Today Dental of Grapevine, root canals are crafted to save your tooth and offer a pain-free experience. Trust in the comfort of our root canal procedure, similar to a standard dental filling.

Money savings

Grapevine dentistry that saves you money! Our dentist optimizes root canal appointments for efficiency, delivering affordable treatments and an outstanding dental experience tailored to your budget.

Modest approach

At your Grapevine dentist, conservative root canal treatment takes center stage. Experience the difference as we prioritize preserving your natural tooth structure through advanced minimally invasive root canal therapy.

Better, cleaner root canals!

Relieve your pain with our disinfected root canals! We maintain the highest quality standards, incorporating new advancements and products customized to ensure your tooth last for years to come

Short dental appointments

Streamline your dental experience at Today Dental of Grapevine with shortened root canal appointment times and advanced dental procedures. Maximize quality family time while minimizing your visits to the dental office.

Expert dental professionals

Choose our Grapevine, Texas dentist for a pleasant root canal treatment visit. With years of expertise and a commitment to continuous learning through numerous courses, we enhance your visit for both enjoyment and lasting results.

Painless visit!

At Today Dental of Grapevine, root canals are crafted to save your tooth and offer a pain-free experience. Trust in the comfort of our root canal procedure, similar to a standard dental filling.

Money savings

Grapevine dentistry that saves you money! Our dentist optimizes root canal appointments for efficiency, delivering affordable treatments and an outstanding dental experience tailored to your budget.

Modest approach

At your Grapevine dentist, conservative root canal treatment takes center stage. Experience the difference as we prioritize preserving your natural tooth structure through advanced minimally invasive root canal therapy.

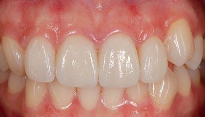
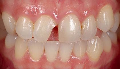
Our Superpower is Saving Teeth

before
after
before
after
before
after
before
after

Opening Hours

DayHours
Monday8:30 a.m. - 5:30 p.m.
Tuesday8:30 a.m. - 5:30 p.m.
Wednesday8:30 a.m. - 5:30 p.m.
Thursday8:30 a.m. - 5:30 p.m.
Friday8:30 a.m. - 3:00 p.m.
Saturday8:00 a.m. - 2:00 p.m.
SundayClosed

YOUR Grapevine TEAM

Grapevine Office
Grapevine Office
Grapevine Office
Grapevine Office
Grapevine Office
Grapevine Office
Grapevine Office
Grapevine Office
Grapevine Office
SG
Sarai G.

Great experience here, the team is very nice, Doctor made a lot of recommendations. Staff also answer all my questions.

EC
Edgar C.

I’ve been coming here for years and I absolutely love it! Staff is always so friendly and they make sure you are taken care of!

JA
Jonathan A.

Great dental office. The staff was great & friendly.

KW
Kelsey W.

I LOVE this office! Everyone is so friendly and professional from start to finish!

You’ve made it this far. . .

FREE Teeth Whitening

Just ask at your first visit

Your Grapevine ROOT CANAL EXPERTS

Frequently Asked Questions

Unsettled by the idea of a root canal? We understand!

Modern advancements have revolutionized the root canal experience. Local anesthesia ensures minimal discomfort, and many patients report feeling calm and in control throughout the procedure. Our experienced team is dedicated to clear communication and providing a comfortable environment for your treatment.

Can a root canal affect the strength of my tooth?

It's true that larger back teeth, especially molars, can be more susceptible to fractures after a root canal due to losing their blood supply. However, this risk is relatively low. To address this, dentists often recommend placing a crown on back teeth after the procedure for added protection. Front teeth typically don't require crowns following a root canal.

Can I get a root canal scheduled quickly?

At Today Dental, we prioritize your time and well-being. We offer dedicated slots in our schedule for same-day root canals, aiming to get you out of discomfort and back to your daily routine as swiftly as possible. In the unlikely event our office is closed, we'll collaborate with our partner clinic to ensure you receive prompt care.

No pain, no problem, right? Not necessarily!

A crucial point to remember is that a root canal might be necessary even when you experience no pain. This often indicates the tooth is already "dead" due to a lack of nerve, explaining the absence of discomfort. However, the underlying infection within the tooth can still spread and lead to serious complications like abscesses if left untreated. Our dentists utilize advanced diagnostic tools, including X-rays, to accurately diagnose your specific needs and recommend the most effective treatment plan.

Extraction vs. Root Canal: Making an informed decision.

While extracting a tooth may seem like a simpler solution initially, it can lead to significant financial burdens down the line. Replacing a missing tooth with implants or dentures can be significantly more expensive than saving the natural tooth with a root canal (and potentially a crown). Additionally, each tooth plays a vital role in maintaining the structure and function of your jaw, preventing surrounding teeth from shifting and causing misalignment. Choosing a root canal can not only save you money but also contribute to a long-term healthy and stable bite, preserving your natural teeth for optimal chewing and aesthetics.