Dental Cleanings

Never Felt So Clean

Your Grapevine Dentist

Owners of Today Dental

Today Dental Crowley

Affordable Ultrasonic cleanings

Today Dental of Grapevine introduces a groundbreaking approach to dental cleanings with ultrasonic technology. Experience the future of oral care, featuring the Cavitron and laser for a superior and streamlined cleaning process.

Light tough cleanings

No one enjoys being poked and prodded! Heavy-handed dental cleanings are against everything we stand for at your Grapevine dentist. Fingertip pressure only ensures your teeth are cleaned without causing you to jump out of the chair.

Minimized costs

Today Dental puts your budget first. Through the use of cutting-edge technology like lasers and ultrasonic scalers, we’ve minimized cleaning appointment durations, ensuring cost savings that directly benefit you.

Cleaning with no discomfort

Enjoy pain-free dental cleanings at Today Dental of Grapevine, where technology and a gentle touch are at the forefront. Benefit from our three sedation options: IV sedation, conscious sedation, and nitrous oxide, ensuring your comfort throughout your visit.

Less time, more efficient visits

Save time during your dental appointment with our efficient procedures. Quick seating, efficient teeth cleaning, and you’re on your way. It’s a straightforward and time-conscious approach.

Affordable Ultrasonic cleanings

Today Dental of Grapevine introduces a groundbreaking approach to dental cleanings with ultrasonic technology. Experience the future of oral care, featuring the Cavitron and laser for a superior and streamlined cleaning process.

Light tough cleanings

No one enjoys being poked and prodded! Heavy-handed dental cleanings are against everything we stand for at your Grapevine dentist. Fingertip pressure only ensures your teeth are cleaned without causing you to jump out of the chair.

Minimized costs

Today Dental puts your budget first. Through the use of cutting-edge technology like lasers and ultrasonic scalers, we’ve minimized cleaning appointment durations, ensuring cost savings that directly benefit you.

Cleaning with no discomfort

Enjoy pain-free dental cleanings at Today Dental of Grapevine, where technology and a gentle touch are at the forefront. Benefit from our three sedation options: IV sedation, conscious sedation, and nitrous oxide, ensuring your comfort throughout your visit.

Pain free treatment

Save time during your dental appointment with our efficient procedures. Quick seating, efficient teeth cleaning, and you’re on your way. It’s a straightforward and time-conscious approach.

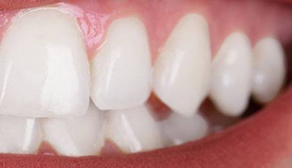
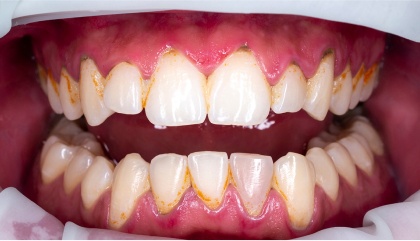
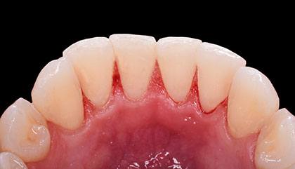
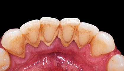
Better Teeth Better Health

before
after
before
after
before
after
before
after

Opening Hours

DayHours
Monday8:30 a.m. - 5:30 p.m.
Tuesday8:30 a.m. - 5:30 p.m.
Wednesday8:30 a.m. - 5:30 p.m.
Thursday8:30 a.m. - 5:30 p.m.
Friday8:30 a.m. - 3:00 p.m.
Saturday8:00 a.m. - 2:00 p.m.
SundayClosed

YOUR Grapevine TEAM

Grapevine Office
Grapevine Office
Grapevine Office
Grapevine Office
Grapevine Office
Grapevine Office
Grapevine Office
Grapevine Office
Grapevine Office
SG
Sarai G.

Great experience here, the team is very nice, Doctor made a lot of recommendations. Staff also answer all my questions.

EC
Edgar C.

I’ve been coming here for years and I absolutely love it! Staff is always so friendly and they make sure you are taken care of!

JA
Jonathan A.

Great dental office. The staff was great & friendly.

KW
Kelsey W.

I LOVE this office! Everyone is so friendly and professional from start to finish!

You’ve made it this far. . .

FREE Teeth Whitening

Just ask at your first visit

Your Grapevine DENTAL cLEANING EXPERTS

Frequently Asked Questions

Short on time?

Today Dental prioritizes same-day appointments whenever possible, ensuring convenient and prompt care. We understand your busy schedule, and if by chance we're unavailable, we'll effortlessly connect you with our friendly sister clinic nearby.

Curious about an ultrasonic cleaning?

Imagine a gentle and efficient spa treatment for your teeth! This innovative technology utilizes sound waves and a specialized solution to remove plaque, tartar, and stains, offering a more comfortable experience than traditional methods.

Thinking about a "deep cleaning"?

No need to worry! Our experienced team is well-versed in scaling and root planing (deep cleanings). We'll conduct a thorough oral health evaluation and develop a personalized treatment plan tailored specifically to your needs. At Today Dental, personalized care is paramount.

Wondering if a regular cleaning is enough before a deep cleaning?

While regular cleanings are vital for maintaining good oral health, they are not recommended for individuals requiring a deep cleaning due to gum disease. Deep cleaning addresses advanced plaque and tartar buildup below the gumline, requiring specific treatment. In some cases, a preliminary debridement cleaning might be necessary to prepare your teeth for the deep cleaning appointment.

Curious about appointment times?

The duration depends on factors like your patient status and the needed procedure. Typically, routine cleanings with exams and X-rays take an hour for returning patients and an hour and a half for new patients. Deep cleanings (scaling and root planing) usually require a separate appointment, lasting anywhere from one to three hours, depending on the severity of the case.