A Reason to Smile…

Free Teeth Whitening

Your Grapevine Dentist

Owners of Today Dental

Today Dental Crowley

White as the driven snow!

We get the impact of discolored teeth will affect more than just your smile. Your Grapevine dentist with help you explore our custom trays, in-office professional whitening, and whitening kits, all tailored to meet your teeth-whitening needs.

Whiter, less sensitive teeth

Visit Today Dental of Grapevine for teeth whitening done without sensitivity! Say farewell to post-op sensitivity and enjoy complimentary desensitizing gel for heightened comfort.

A special event around the corner?

Be it a wedding or a get-together with long-lost friends, whitening your teeth is the instant, painless route to a younger you. Rest assured, we’ve got you covered!

Affordable powerful whitening!

Embrace affordable high-end whitening at Today Dental of Grapevine. It’s tough to manage a budget and trying to keep up an appearance so we’ve intentionally kept costs low. Achieve the smile you’ve always dreamt of without breaking the bank!

Grapevine Whitening 4 Life

Receive free teeth whitening! During your visit, we’ll equip you with personalized whitening trays and whitening gel. And here’s the bonus: grab a free tube of whitening gel with every cleaning!

Caring and compassionate team

Find new and improved personalized dentistry with a heart at Today Dental of Grapevine. We’re not just about brightening smiles; we focus on lasting relationships with our patients.

White as the driven snow!

We get the impact of discolored teeth will affect more than just your smile. Your Grapevine dentist with help you explore our custom trays, in-office professional whitening, and whitening kits, all tailored to meet your teeth-whitening needs.

Whiter, less sensitive teeth

Visit Today Dental of Grapevine for teeth whitening done without sensitivity! Say farewell to post-op sensitivity and enjoy complimentary desensitizing gel for heightened comfort..

A special event around the corner?

Be it a wedding or a get-together with long-lost friends, whitening your teeth is the instant, painless route to a younger you. Rest assured, we’ve got you covered!

Affordable powerful whitening!

Embrace affordable high-end whitening at Today Dental of Grapevine. It’s tough to manage a budget and trying to keep up an appearance so we’ve intentionally kept costs low. Achieve the smile you’ve always dreamt of without breaking the bank!

Grapevine Whitening 4 Life

Receive free teeth whitening! During your visit, we’ll equip you with personalized whitening trays and whitening gel. And here’s the bonus: grab a free tube of whitening gel with every cleaning!

Caring and compassionate team

Find new and improved personalized dentistry with a heart at Today Dental of Grapevine. We’re not just about brightening smiles; we focus on lasting relationships with our patients.

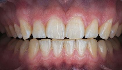
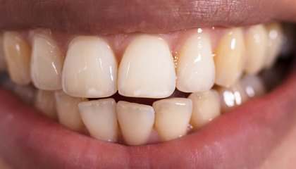
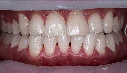
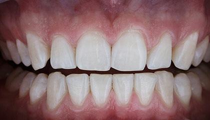
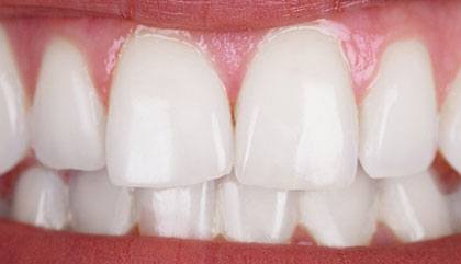
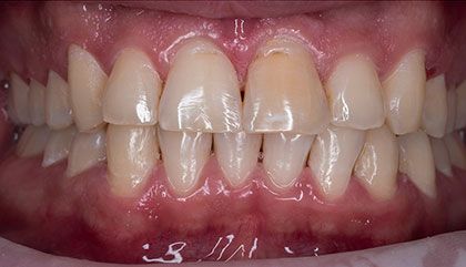
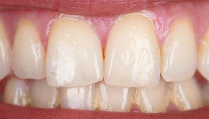
Beautiful White Smiles

before
after
before
after
before
after
before
after
before
after

Opening Hours

DayHours
Monday8:30 a.m. - 5:30 p.m.
Tuesday8:30 a.m. - 5:30 p.m.
Wednesday8:30 a.m. - 5:30 p.m.
Thursday8:30 a.m. - 5:30 p.m.
Friday8:30 a.m. - 3:00 p.m.
Saturday8:00 a.m. - 2:00 p.m.
SundayClosed

YOUR Grapevine TEAM

Grapevine Office
Grapevine Office
Grapevine Office
Grapevine Office
Grapevine Office
Grapevine Office
Grapevine Office
Grapevine Office
Grapevine Office
SG
Sarai G.

Great experience here, the team is very nice, Doctor made a lot of recommendations. Staff also answer all my questions.

EC
Edgar C.

I’ve been coming here for years and I absolutely love it! Staff is always so friendly and they make sure you are taken care of!

JA
Jonathan A.

Great dental office. The staff was great & friendly.

KW
Kelsey W.

I LOVE this office! Everyone is so friendly and professional from start to finish!

You’ve made it this far. . .

FREE Teeth Whitening

Just ask at your first visit

Your Grapevine WHITENING EXPERTS

Frequently Asked Questions

How long does it take to have this done?

Achieve a radiant smile faster! Professional whitening (Zoom/Boost) takes only one session (60-90 minutes) and uses stronger gels with light activation to deliver superior whitening results compared to take-home kits.

Is there any special consideration for whitening teeth with existing veneers or crowns?

While whitening is ineffective on veneers and crowns, there's still hope! Your Today Dental of 'GrapevineGrapevine dentist can help you explore ways to achieve a whiter smile.

Can you share the associated costs?

We offer complimentary teeth whitening! All patients at Today Dental of Grapevine receive a free custom whitening kit with trays, gel, and a case. We'll provide free gel refills and replace lost trays at no additional cost. If you're seeking faster results, consider our in-office professional service, typically priced at $200-$300 (holiday specials may offer further discounts).

Is teeth whitening worth considering for me?

We often say yes to whiter smiles! At Today Dental , we assess individual factors like current teeth condition, oral health, and desired outcome to determine if whitening is suitable. Generally, it's effective for stains from aging, food/drinks, and smoking, but not recommended for untreated cavities, gum disease, or other dental issues. Remember, overuse or improper use of whitening products can lead to sensitivity and complications, so consult your dentist.

Would it be safe for me to whiten my teeth at this point?

Hold off on whitening for now! Teeth whitening is generally not recommended for young individuals under 16 because their developing teeth are more sensitive. At Today Dental, we can advise if waiting until you're older is best or if there are alternative solutions for a brighter smile.