
Your Grapevine Dentist

Opening Hours
Day | Hours |
---|---|
Monday | 8:30 a.m. - 5:30 p.m. |
Tuesday | 8:30 a.m. - 5:30 p.m. |
Wednesday | 8:30 a.m. - 5:30 p.m. |
Thursday | 8:30 a.m. - 5:30 p.m. |
Friday | 8:30 a.m. - 3:00 p.m. |
Saturday | 8:00 a.m. - 2:00 p.m. |
Sunday | Closed |
Your Grapevine CROWN & Bridge EXPERTS
Frequently Asked Questions
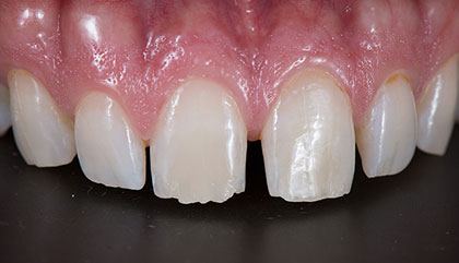
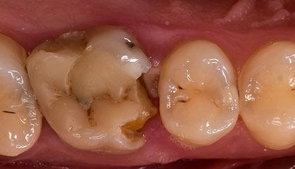
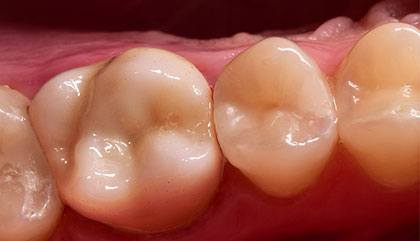
What’s the process for me to get a crown done?
Crowns and bridges typically involve two visits, spaced a few weeks apart. However, emergencies like chipped front teeth might allow for a quicker crown turnaround. While some clinics offer same-day solutions, our experience highlights the benefits of crowns crafted in our on-site lab using high-heat techniques for superior results and a perfect fit. At Today Dental of Grapevine, prioritizing long-lasting functionality and optimal care is our core mission.
Are crowns outrageously expensive?
Compared to root canals with crowns, implants, or dentures, dental crowns are often a more budget-friendly option. We understand financial concerns, which is why Today Dental offers various plans to fit your needs, including an in-house savings plan and flexible payment options. Additionally, crown pricing varies depending on the location in your mouth and the chosen material, such as porcelain or zirconia. Cash-paying patients can expect costs within a range of $900-$1,400, while those with dental insurance may benefit from reduced costs.
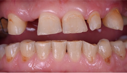
Curious about your initial visit?
Efficiency is key at Today Dental of Grapevine. Upon arrival, you'll be greeted warmly and escorted to the treatment area. To assess your oral health, we'll take digital images and X-rays. The dentist will then perform a thorough examination, inquiring about any potential discomfort you might be experiencing. If decay or fractures are present, crown treatment might be recommended. In most cases, we strive to initiate treatment on the same day, reflecting our commitment to prompt care. Following tooth preparation for the crown, a temporary restoration will be placed, and an impression will be taken. You'll then return in 2-3 weeks for permanent crown placement.
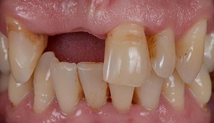
Confused by dental bridges?
Think of a dental bridge as a crown's close cousin, designed to bridge the gap created by missing teeth. It consists of two or more crowns cemented to the teeth flanking the gap (abutment teeth) and one or more artificial teeth (pontics) filling the space between them. The abutment teeth act as anchors, while the pontic effectively restores the appearance and functionality of the missing tooth/teeth. Bridges can be crafted from various materials, including porcelain or zirconia, and are securely attached to natural teeth for optimal stability. While dental bridges offer a convenient solution for replacing one or two missing teeth, they might not be suitable for restoring numerous missing teeth. A dental professional can offer further guidance and explore other options in such cases.
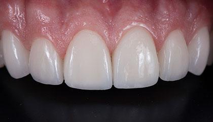
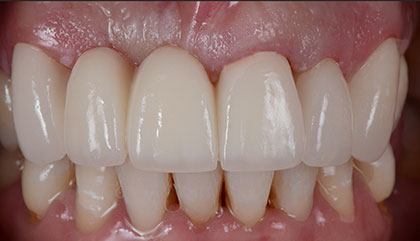
Unsure if a crown is right for you?
At Today Dental of Grapevine, we prioritize conservative approaches, aiming to preserve as much healthy tooth structure as possible. We believe natural teeth offer unmatched functionality and durability. So, why consider a dental crown? Firstly, crowns act as tooth saviors, protecting existing tooth structure compared to alternatives like implants or dentures that require tooth extraction. Additionally, crowns offer a simple and efficient solution to reinforce weakened, cracked, or decayed teeth. Furthermore, they can enhance both the aesthetics and functionality of your smile, allowing you to regain confidence and rediscover the joy of a healthy, radiant smile.